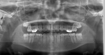
永久歯の「先天性欠如」って?
レントゲン検査で確認され、小学生の中学年〜高学年頃に発見されることが多くなります。

最近、増えていると感じます
原因はまだ完全には解明されていませんが、遺伝や環境の影響が関係しているといわれています。
先天欠如によって起こる2つの問題
01
歯の数が合わず、歯並びや咬み合わせに影響する
上下で歯の本数が合わないと、かみ合わせや歯並びのバランスが崩れやすくなります。

02
大人になってから、乳歯が抜けてすき間が残る
欠如部には永久歯がないため、将来的に「すきっ歯」になるリスクがあります。

当院の対応方針
歯並びの問題には矯正で対応
先天欠如がない子どもでも矯正が必要になることは多く、特別に深刻な問題というわけではありません。
当院では、上下の歯の本数が合わない場合でも、今ある歯で良い噛み合わせを作ることを目指した治療方針をご提案しています。

将来のすき間の問題も、人工物に頼らず解決できる場合があります
しかし、当院ではできるだけ本人の歯や自然な成長を活かして対応することを大切にしています。
例えば、状況に応じて成長を見ながら処置のタイミングを計ることで、人工物を使わずに将来的なすき間を回避することができるケースもあります。
※詳細な方法については、実際の診察時にご説明いたします。
他にも、こんな対応が可能です
→ 状況によっては「歯の移植」で補えることがあります。
当院では、大学院時代に歯牙移植の研究を行っていた院長が対応しています。
→ 条件を満たせば保険適用の矯正治療が可能です。
必要な書類作成から治療まで一貫して対応します。
最後に
そして、すべての場合にインプラントや差し歯が必要になるわけではありません。
「まずは何ができるのか知りたい」という段階でも構いません。お気軽にご相談ください。
-
矯正歯科について - 矯正症例集
- なぜ矯正をした方がいいの?
- 矯正治療のすすめ方
- 当院の矯正装置(オプション)
- 矯正料金表
- 矯正治療Q&A
| 診療時間 | 月 | 火 | 水 | 木 | 金 | 土 | 日 |
|---|---|---|---|---|---|---|---|
| 9:00-12:00 (11:30最終受付) |
● | ● | 休 | ● | ● | ● | 休 |
| 14:00-18:00 (17:30最終受付) |
● | ● | 休 | ● | ● | ● | 休 |
- ※休診日…水曜日・日曜日・祝日

〒518-0878
三重県伊賀市上野西大手町3598
(崇廣中学校となり)アクセス ≫
当院は伊賀市上野・緑ヶ丘・桐ヶ丘・青山町など、周辺地域からも多くの患者さまにご来院いただいています。
TEL 0120-539-118
TEL 0595-21-1616
-
駐車場14台完備 -
キッズスペース完備


歯周病
入れ歯&訪問




WEB予約はこちら ▶